
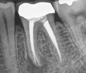
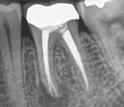
Pictured: Preoperative and Postoperative
Our patient presented with severe pain and required emergency root canal treatment. After cleaning and removing the inflamed pulp, the root canal system was successfully restored and the natural tooth saved.
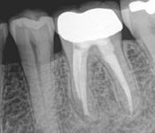
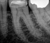
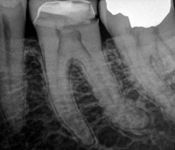
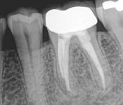
Pictured: Preoperative, Retreatment, Apicoectomy
and 5 Year Recall
Our patient required root canal retreatment. After an apicoectomy, the removal of the root tip and the infected tissue, there was complete bone healing in the 5 year recall.
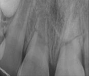
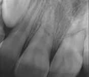
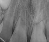
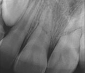
Pictured: Root Fractures/Splinting of Teeth and 1 Year Recall with Complete Root Formation
Parent of our 7-year-old patient was distraught by an injury that indicated horizontal root fractures in tooth #8 and tooth #9. Treatment involved splinting of teeth. After 1 year recall , the patient successfully had complete root formation.
Pictured: Necrosis and 3 Year Recall with Complete Root Formation after Revascularization
Our patient developed necrosis of tooth #9 caused by intrusive luxation. We opted to treat with revascularization with triple antibiotic and MTA. In our 3 year recall, the patient had achieved complete root formation.
• American Association of Endodontics
• American Dental Association
• International Association of Dental Traumatology
• Pierce County Dental Association
• Washington State Dental Association
• EnviroStars Business
